Recently, Xinying Wang’s group reported the mechanisms of glucose metabolism disorders associated with total parenteral nutrition (TPN). The results shows that the homeostasis between gut microbiota and intestinal endocrine cells plays an important role in TPN-related glucose metabolism disorders, and has been published on February 13, 2023, in Nature Metabolism titled “Total parenteral nutrition impairs glucose metabolism by modifying the gut microbiome” (//doi.org/10.1038/s42255-023-00744-8).
Clinical nutrition is called as one of the four major advances in surgery in the 20th century by Sabiston Textbook of Surgery, and is regarded as a “life-saving” treatment by surgeons. It not only saved countless critically ill patients’ life but also ensured the possibility of many surgical operations.
Parenteral nutrition treatment is an important part of clinical nutrition. However, a series of complications caused by it seriously affect the clinical outcomes of patients. It has been reported that glucose metabolism disorders during parenteral nutrition support can increase the risk of infection by 1.4 times and the risk of death by 1.77 times. However, its mechanisms are still unclear.
Accepted theory suggests that PN-related glucose metabolism disorders are caused by excessive or insufficient infusion of dextrose and/or insulin. However, Xinying Wang found that, during the treatment of patients with intestinal failure (IF), surgeons have strictly followed the standard operating procedures for glucose supply and insulin use according to guidelines, but the incidence of glucose metabolism disorders in patients with parenteral nutrition therapy still reaches 25%, which shows that other mechanisms may also be involved, and be urgent to clarified.
Xinying Wang’s group performed a cohort study which included 256 patients with intestinal failure and found that 50% of patients who received more than 80% of the total energy required through parenteral nutrition (H-PN) suffered the glucose metabolism disorders (HOMA-IR > 2.69), and the HOMA-IR was strongly associated with poor clinical outcomes (ICU admission, infection, organ damage). Subsequently, insulin resistance, reduced liver glycogen deposition, abnormal insulin signaling and glycogen synthesis-related pathways have also been found in the mouse model of parenteral nutrition (Fig.1).
Fig.1 Glucose metabolism disorder in IF patients.

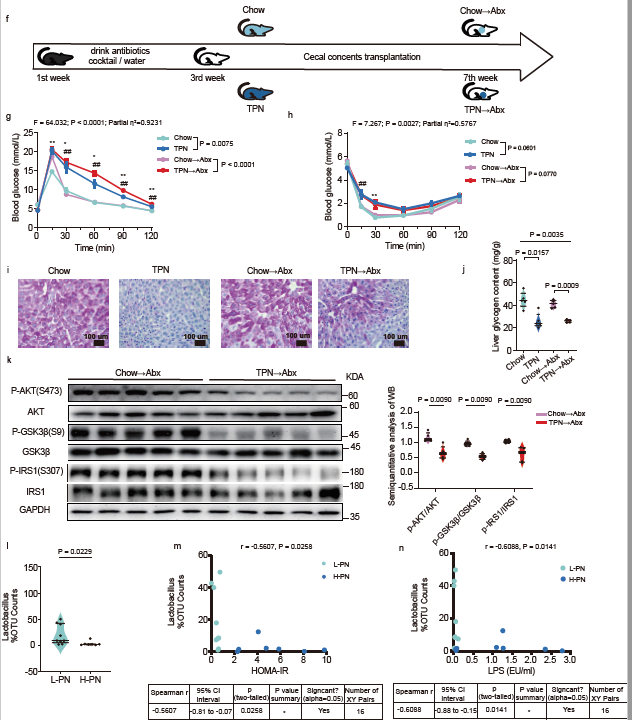
Considering that the gut microbiome disorders can affect the homeostasis of metabolism, Xinying Wang’s group performed 16s RNA sequencing for TPN mouse model and patients with intestinal failure. Results showed that the abundance of Lactobacillus was significantly decreased in the TPN mice and H-PN patients. Meanwhile, the off-target metabolomics of mice suggested that the tryptophan metabolic pathway, which is closely related to Lactobacillus, was significantly down-regulated, and the indoleacetic acid (IAA) was most significantly reduced in the intestinal contents of mice and the blood of H-PN patients. In addition, Abx mice (a mouse model without gut microbiota) receiving intestinal contents from mice receiving TPN developed glucose metabolism disorders. These results suggest that gut microbiota and its metabolites may play an important role in total parenteral nutrition-related glucose metabolism disorders (Fig.2).
Fig.2 Gut microbiome is associated with glucose metabolism in TPN mouse model.

After the intervention of IAA in TPN mice, it was found that IAA could significantly alleviate the glucose metabolism disorders, and also affect the expression of GLP-1, an important factor regulating the homeostasis of glucose metabolism. Furthermore, Xinying Wang’s group generated the mouse and human intestinal organoids, and found that IAA stimulation upregulated the expression of genes related to proliferation (Ki-67), differentiation (Pax6, Foca1, Ngn3), and GLP-1 secretion (Gcg) in L-Cells (Fig.3).
Fig.3 Human intestinal organoids

Finally, Xinying Wang’s group found that treated TPN mice with liraglutide, a GLP-1 analogue, could reverse the TPN-induced glucose metabolism disorders.
In summary, Xinying Wang’s group proved that glucose metabolism disorders induced by long-term parenteral nutrition use are closely related to patient’s clinical outcomes. In addition, decreased abundance of Lactobacillus and IAA resulted in downregulation of Gcg in L cells and reduced the secretion of GLP-1, which may be the mechanism of total parenteral nutrition-related glucose metabolism disorders. GLP-1 analogues may be an important therapeutic drug to alleviate this injury (Fig.4).

Fig.4 Glucose metabolism disorder in TPN
The paper has three co-first authors: Ph.D. students Peng Wang and Haifeng Sun from Nanjing University, and postdoctoral fellow Gulisudumu Maitiabula from Jinling Hospital. The co-corresponding authors are Prof. Xinying Wang, Chaojun Li, and Bin Xue. The research was greatly supported by the cooperative laboratory and research group of Prof. Yeguang Chen at Tsinghua University.
Link to the paper: //www.nature.com/articles/s42255-023-00744-8.



